全膝关节表面置换术(total knee arthroplasty,TKA)是治疗严重膝关节疼痛及畸形的最有效手段之一;其原理是通过术中将膝关节进行精准截骨,随后将膝关节假体植入,同时恢复患者下肢力线,用来缓解疼痛或恢复关节功能。
术前诊断:
关节外科主任在术前检查时发现患者的股骨骨髓腔异常狭窄,该患者股骨髓腔最窄处仅有4毫米左右,而髓内定位杆直径为5毫米,根本无法插入髓腔,因此无法通过传统的膝关节置换手术进行手术。在传统的膝关节置换技术中,股骨远端截骨依赖于股骨髓腔的髓内定位杆来实现精确的股骨远端截骨,精确的截骨将有助于术后膝关节功能的恢复和延长膝关节假体的生存时间。

在征得患者及其家属同意后,关节外科手术团队决定使用个性化截骨导板(Patient specific instrument,PSI)技术来进行手术,该技术通过CT扫描采集该患者的下肢骨骼数据,经过计算机处理、建模,设计出针对该患者骨骼解剖学特征的个性化截骨导板并最终通过3D技术打印成型。
导板设计:关节外科团队利用CT扫描获取数据,工程师采集王女士的下肢骨骼数据进行三维重建。根据力线绘制结果,患者右侧膝关节存在轻微内翻,依据力线确定股骨截骨位置和胫骨截骨位置。
术中使用:在手术室、麻醉科等团队配合下,主任医师应用PSI截骨导板进行膝关节截骨,最终顺利地完成了手术。
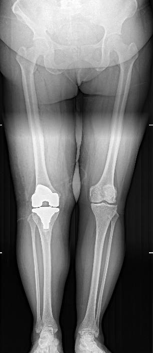
术后观察:术后通过X光片观察手术效果,假体植入状态良好,力线恢复正常。
随着3D打印技术的不断发展和临床医学不断进步,3D打印技术在骨科领域应用越来越多,骨科相关技术水平也将随着3D打印技术出现持续发展创新;相信在不久的将来,现代医疗模式同3D打印技术一起还将进入一个更新阶段,让我们拭目以待。
专业客服为您解疑答惑